Deniz Kılınç / İstanbul, 3 Kasım () - Amerika'da bir adam, karnındaki ağrının sebebinin daha önce yuttuğu bir çakmak olduğunu ve çakmağın midesine zararlı bir sıvı akıttığını öğrendi.
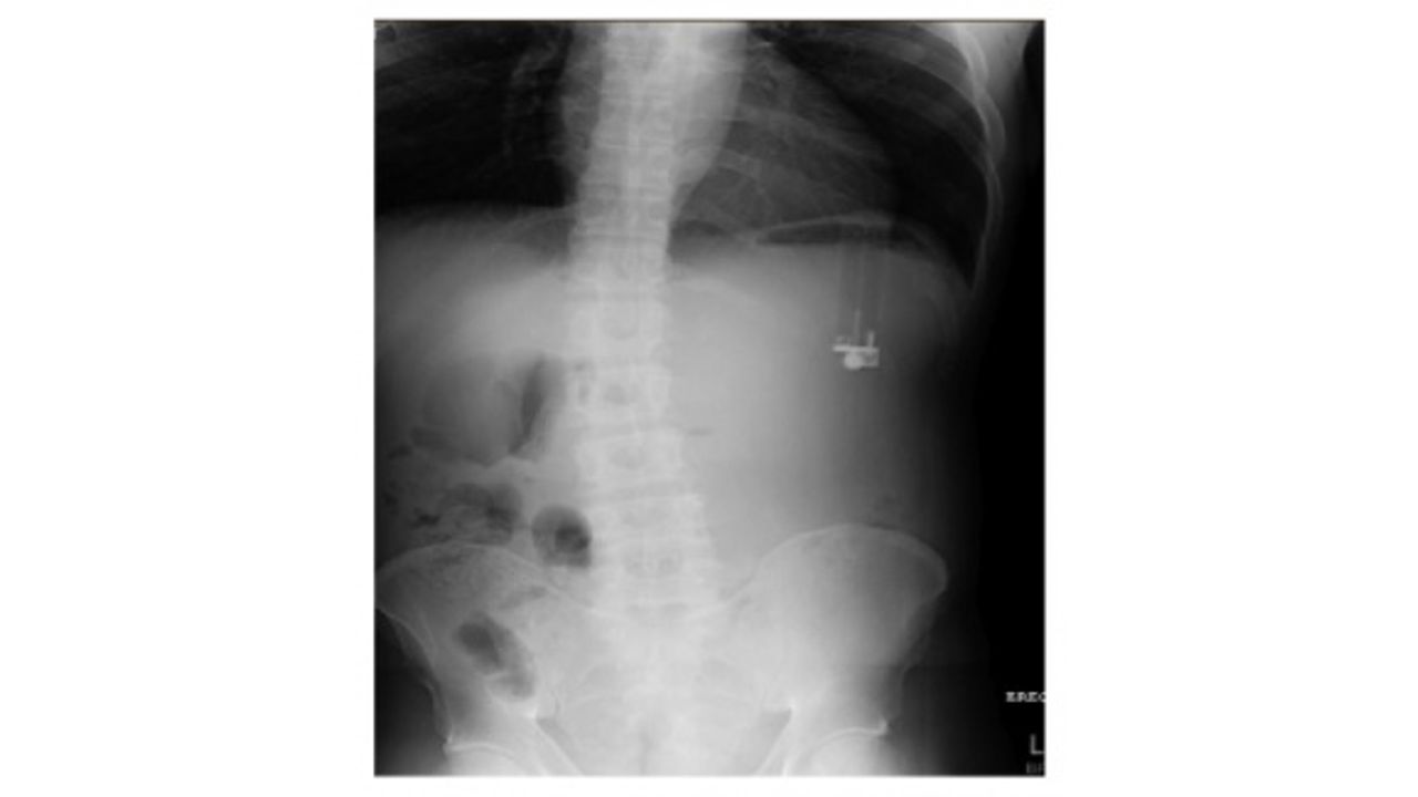
Ağustos 2016'da şiddetli karın ağrısı, mide bulantısı ve istifra şikayetleriyle hastaneye giden 49 yaşındaki Amerikalı adama yapılan kan ve idrar testleri temiz çıkarken, röntgen sonuçlarında çakmak benzeri bir madde görüntülendi. Ağustos 2017'de Case Reports in Emergency Medicine dergisinde yayınlanan makalede, "röntgende görüntülenen çakmağın" adamın midesinde ters bir şekilde durduğu ve mideye zehirli ve kimyasal bir sıvı akıttığı söylendi. Bu sıvı, 49 yaşındaki adamın midesinde en genişi 5 mm olmak üzere, birçok gastrit-ülser yarası oluşmasına sebep oldu.
Makalede, "Çakmaklar hem vücutta tıkanmaya sebep olma hem de vücuda zarar verecek sıvı akıtma nedenleriyle oldukça eşsiz bir problem. Çakmakların akıttığı sıvılarda bulunan zararlı maddeler arasında benzin, bütan, heksamin, gazyağı ve propan bulunuyor" denildi.
49 yaşındaki adamın kendi mide asidiyle birleşen çakmağın akıttığı sıvı, midede gastrit yaralarının oluşmasına sebep oldu. Zararlı sıvı, mide derisini eriterek mide asidini ortaya çıkardı. Konuyla ilgili Florida Üniversitesi Tıp Fakültesi gastroenterologu Dr. Asim Shuja, "Dış maddeler sebebiyle meydana gelen ülser çok yaygın bir durum değil" dedi.
Endoskopi kullanılarak çıkarılan çakmaktan sonra Amerikalı adam ülseri için sekiz hafta boyunca düzenli ilaç kullandı ve iki ay sonraki doktor kontrolünde ülserin iyileştiği belirtildi.
-
Güvenlik-KÜLTÜR SANAT English News-Politika - Diplomasi BİLİM-TEKNOLOJİ Spor-GENEL Genel-Politika, Eğitim English News-Kültür Sanat AMATÖR SPOREnglish News-Politika English News-Ekonomi Sağlık-Sağlık English News-Çevre English News Güvenlik-Güvenlik, Politika Politika-EkonomiGenel-Politika Eğitim-Eğitim Kültür Sanat-Magazin English News-Politika, Genel Güvenlik-Dış Haberler Eğitim-Sağlık Genel-sporEnglish News-Ekonomi, Politika Genel-Siyaset Genel-Eğitim English News-Ekonomi, Çevre English News-Genel, Güvenlik English News-Politika, Genel, Güvenlik, İnsan Hakl English News-Güvenlik - Politika - Dış PolitikaEnglish News-Politika, Genel, Güvenlik English News-Dış Politika, Politika English News-Politika, Dış Politika, Savunma English News-Gündem English News-Genel, Güvenlik, İnsan Hakları Politika-Dış Haberler English News-Politics, Human Rights, SecurityEnglish News-Economy English News-Politics, Human Rights English News-Arts-Culture English News-Politics, Security English News-Security English News-Politics, Economy, Security English News-Politics, Human Rights, JuridicalEnglish News-Politics English News-Politics, Economy English News-Politics, Foreign Politics, Security Genel-Ekonomi Genel-sağlık Eğitim-Politika Güvenlik-SporEnglish News-Human Rights English News-Politics, Human Rights, Juridical, Se Genel-Çevre English News-Politics, Economy, Juridical English News-Politics, Human Rights, Security, Env Güvenlik-Sağlık Genel-Dış HaberlerKültür Sanat-Kültür Sanat English News-Politics, Juridical English News-Juridical, Economy English News-Politics, Human Rights, Foreign Polit English News-Juridical Ekonomi-Politics, Foreign Politics, Security English News-Politics, Foreign Politics, Security,English News-Arts-Culture, Politics Genel-Kültür Sanat Flaş Haber English News-Security, Sports English News-Environment Genel-Ekonomi, Bilim Teknoloji English News-Human Rights, EducationEnglish News-Economy, Environment Ekonomi-Politika English News-Arts-Culture, Human Rights, Juridical Genel-Tarih Güvenlik-Eğitim English News-Sports English News-Foreign PoliticsEnglish News-Politics, Foreign Politics, Economy Politika-Politika English News-Politics, Juridical, Security Genel-Ekonomi, Spor Ekonomi-Turizm Genel-Ekonomi,Politika English News-Sports, SecurityEnglish News-Human Rights, Religion Dış Haberler-Ekonomi English News-Health, Economy English News-Politics, Juridical, Science English News-Juridical, Crime Ekonomi-Fashion English News-Crime, PressEnglish News-Religion, Rights, Politics Dış Haberler-Güvenlik, Kültür ve Sanat, Tarih English News-Politics, Arts-Culture Güvenlik-Human Rights, Juridical, Crime English News-Arts and Culture, Environment Ekonomi-Çalışma Dış Haberler-Ekonomi, ABDEnglish News-Human Rights, Security, Politics Güvenlik-Arts-Culture Kültür Sanat-Arts and Culture, Religion, Life Ekonomi-Sigorta Ekonomi-Turizm, Ekonomi, Havacılık, Finans Ekonomi-Yaşam Politika-Ekonomi, Finans, Avrupa BirliğiEnglish News-Tourism English News-Diplomacy, Politics, Economy Dış Haberler-Yaşam English News-Economy, Health, Life Politika-Security, Politics English News-Press English News-Diplomacy, Rights, Politics, MediaMagazin-Sağlık English News-Economy, Tourism Güvenlik-Religion English News-Arts and Culture, Life Seç-Security, Politics Dış Haberler-Havacılık, Finans, Ekonomi English News-Politics, Arts-Culture, EducationSağlık-Economy English News-Security, Juridical English News-Rights, Politics Dış Haberler-Diplomasi, BM Politika-Güvenlik Genel-Politika, Ekonomi English News-Economy, International NewsEnglish News-Religion, Labor, Politics Dış Haberler-Diplomasi English News-Economy, Religion Güvenlik-Life English News-Press, Rights, Politics, Economy English News-Press, Politics, Juridical Dış Haberler-Güvenlik, ABDSağlık-Life English News-Finance, Religion, Politics Kültür Sanat-Eğitim Dış Haberler-Diplomasi, Politika, Haklar, Medya English News-Foreign Politics, Economy Dış Haberler-Kültür Sanat, Ekonomi English News-Rights, SecurityPolitika-Ekonomi- Tarım Dış Haberler-Diplomasi, Politika, ABD, Haklar, Med English News-Economy, Human Rights, Environment Dış Haberler-Güvenlik, İnsan Hakları English News-Foreign Politics, Security, Human Rig English News-Rights, Crime, Press Magazin-Kültür SanatEnglish News-Life Güvenlik-Kendi doğum günü partisinden dönüşte geçi English News-Foreign Politics, Politics Genel-Güvenlik, Spor Ekonomi-Finans, Güvenlik English News-Politics, Human Rights, Religion Dış Haberler-SecurityEnglish News-Art and Culture, Tourism, Life English News-Politics, Press Dış Haberler-Güvenlik, Turizm English News-Health, Human Rights Dış Haberler-Human Rights English News-Religion, Culture, Life English News-Rights, Security, JuridicalFlaş Haber-Güvenlik Genel-Taner YENER-Enver ALAS Dış Haberler-Turizm Dış Haberler-Kültür Sanat English News-Environment, Energy English News-Human Rights, Security, Juridicial Gündem-Security, Human RightsEnglish News-Education, Rights, Life Ekonomi-Eğitim, Teknoloji Dış Haberler-Ekonomi, Finans, İstihdam English News-Economy, Defense Dış Haberler-Foreign Politics, Security English News-Science and Technology, Education Dış Haberler-Ekonomi, SağlıkGenel-Tarih, Turizm English News-Politics, Sports Dış Haberler-Politika English News-Diplomacy, Security, Press English News-Economy, Tourism ,Security Ekonomi-Diplomasi, Güvenlik English News-Economy, AgricultureDış Haberler-Güvenlik, Politika, Dış Politika English News-Press, Politics English News-Arts and Culture, Economy Ekonomi-Diplomasi, Güvenlik, Dış haber Güvenlik-Magazin Dış Haberler-Foreign Politics, Economy English News-Art and CultureEkonomi-Ekonomi- Tarım Ekonomi-Havacılık, Finans, Ekonomi English News-Politics, Arts-Culture, Human Rights Dış Haberler-Dış Politika English News-Tourism, Arts and Culture English News-International News, Health, Economy English News-Crime, JudiciaryEnglish News-Economy, Human Rights Genel-Life, Economy Ekonomi-Art and Culture English News-Crime, Juridical, Life Genel-Havacılık, Finans, Ekonomi English News-Economy, Automotive Genel-Life, Economy, TourismEnglish News-Life, Politics English News-Crime, Juridical, Press, Rights English News-Crime, Security, Politics, Religion Ekonomi-Politics Genel-Tourism Ekonomi-Dış Politika, Avrupa Birliği Kültür Sanat-YaşamDış Haberler-Diplomasi, Ekonomi Ekonomi-Finans Dış Haberler-Turizm, Ekonomi Genel-Eğitim, Dış Haberler, Politika Seç-Security Ekonomi-Diplomasi, Finans English News-Economy, FinanceDış Haberler-Politika, Finans, Ekonomi Genel-Dış Haberler, Politika English News-Rights ,Education, Politics, Security English News-Crime, Security, Politics, Religion, Spor-Eğitim Dış Haberler-Politics, Economy, Finance English News-Urban, EconomyDış Haberler-İnsan Hakları, Medya, Eğitim, Akademi Dış Haberler-İnsan Hakları, Diplomasi Ekonomi-İnşaat, Konut Dış Haberler-Ekonomi, Politika, Dış Politika English News-Life, Environment English News-Rights, Juridical, Politics Dış Haberler-Diplomasi, İnsan HaklarıEnglish News-Human Rights, Security, Crime Genel-Tourism, Life Dış Haberler-Güvenlik, Dış Haberler English News-Arts and Culture, Science Flaş Haber-Diplomasi, Güvenlik English News-Economy, Industry Dış Haberler-Politika, Finans, Ekonomi, EnerjiEnglish News-Security, Economy, Politics, Rights Ekonomi-Gıda Ekonomi-Çevre, Sağlık, Ekonomi English News-Economy, Technology Genel-Tourism, Economy English News-Science and Technology, Economy Güvenlik-Sağlık, GenelEkonomi-Ekonomi, Finans, İstihdam English News-Education, Crime Ekonomi-Tourism, Life English News-Politics, Security, Diplomacy English News-Energy, Economy, ıNT English News-Politics, Diplomacy, EU English News-Economy, NavalEkonomi-Energy, Environment English News-Security, Crime, Human Rights English News-International News, Juridical, Econom Dış Haberler-Turizm, Ekonomi, Havacılık, Güvenlik English News-Economy, Unemployment Politika-Eğitim English News-Arts and Culture, RightsSpor-Aynur Tattersall Dış Haberler-Politics, Diplomacy, EU English News-Economy, Aviation, Defense Genel-Environment Dış Haberler-Güvenlik, Politika, Dış Politika. İns English News-Labor, Rights, Health, Education, Pol English News-PolitcsEkonomi-Tarım, Gıda Dış Haberler-Ekonomi, Çalışma Yaşamı, Politika English News-Religion, Politics, Security English News-Crime, Security, Politics Ekonomi-Finans, Telekomünikasyon English News-Juridical, Crime, Huban Rights Dış Haberler-Politika, Finans, Ekonomi, Çalışma YaEnglish News-Security, Rights, Diplomacy Ekonomi-Enerji, Çevre, Ekonomi Spor-Ekonomi English News-Politics, Economy, Religion Ekonomi-Politics, Security Politika-Genel Dış Haberler-Diplomasi, Politika, Güvenlik, EkonomDış Haberler-Diplomasi, ABD English News-Politics, Life Ekonomi-Tourism, Economy English News-Technology, Economy Ekonomi-Enerji, Çevre, Ekonomi, Finans Ekonomi-Endüstri, Finans English News-Security, CrimePolitika-Real Estate English News-Politics, Rights, Security, Crime English News-Economy, Finance, Life, Health Dış Haberler-Diplomasi, Medya English News-Juridical, Security, Politics Güvenlik-Human Rights, Economy, Tourism English News-Politics, Security, CrimeEğitim-Dış Haberler Kültür Sanat-Dış Haberler, Magazin Politika-Sağlık Politika-Security, EU, US English News-Security, Politics, Crime Ekonomi-Finans, Enerji English News-Economy, Industry, DefenseEnglish News-Economy, EU Kültür Sanat-Ekonomi English News-Security, Politics, Rights English News-Juridical, Rights Dış Haberler-Kültür ve Sanat, Politika Ekonomi-Otomotiv Ekonomi-SecurityEnglish News-se English News-Politics, Security, Diplomacy, EU Dış Haberler-Diplomasi, Eğitim, Savunma Ekonomi-Havacılık, Ulaşım Sağlık-Tourism English News-Tourism, Economy, Politics Dış Haberler-Güvenlik, Haklar, SiyasetDış Haberler-Ekonomi, Finans, İhracat, Turizm Ekonomi-Sanayi Güvenlik-Environment Ekonomi-Tekstil, Hazır Giyim English News-International News, Security, Diploma Ekonomi-Finans, Turizm, Güvenlik English News-Human Rights, HealthGüvenlik-Politics, Human Rights Dış Haberler-Dış Politika, Avrupa Birliği English News-Food, Life Dış Haberler-Diplomasi, Güvenlik, Rusya Ekonomi-Tourism, Sports Güvenlik-Economy, Environment Dış Haberler-Dış Politika, Güvenlik, İnsan HaklarıEnglish News-Local, Security, Rights Ekonomi-Diplomasi, Finans, Enerji Güvenlik-Foreign Politics, Economy, Juridicial Genel-Life, Tourism English News-Education, Life English News-Security, Diplomacy Dış Haberler-Diplomasi, Finans, Enerji, EkonomiEkonomi-Sanayi, Finans Genel-Life, Environment English News-Security, Crime, Human Rights, Politi English News-Rights, Politics, Security Dış Haberler-Diplomasi, Güvenlik, Rusya, Suriye Politika-Human Rights Güvenlik-Politics, Economy, Human RightsEnglish News-Rights English News-Economy, Finance, Rights, Judicial, P Dış Haberler-Ekonomi, Turizm Politika-Foreign Politics, Security Gündem-Güvenlik, Ekonomi Haber Özeti-Politics English News-Rights, EconomyEkonomi-Ekonomi, Finans, İhracat, Turizm Gündem-Juridical Ekonomi-Life English News-Economy, Politics, Security Ekonomi-Finans, Hukuk Ekonomi-Endüstri, Finans, İstihdam Gündem-Juridical, CrimeGenel-Turizm, Ekonomi, İnsan Hakları English News-Media, Rights, Politics Dış Haberler-Sağlık Dış Haberler-Diplomasi, Finans, Enerji Gündem-Education, Security Sağlık-Security English News-Juridical, Human RightsEnglish News-Economy, Population Haber Özeti Kültür Sanat-Contemporary Art, Gastronomy Politika-Dış Politika English News-Politics,Security Dış Haberler-Ekonomi, Enerji, Finans İş DünyasıKültür Sanat-Human Rights Genel-Life, Human Rights English News-Art and Culture, Life English News-Arts and Culture, International News Finans Ekonomi-Gençlik Genel-Politics, Human RightsDış Haberler-Ekonomi, Finans English News-International News, Rights, Politics Genel-A Ekonomi-Finance Eğitim-Politics Dış Haberler-Politika, Dış Politika, Medya Genel-Ekonomi, HavacılıkGündem-Eğitim Ekonomi-Youth Güvenlik-Environment, Human Rights English News-s English News-Health, International News, Climate Ekonomi-Çevre Genel-Environment, LifeEnglish News-Politics, Rights Dış Haberler-Sağlık - Türkiye-İstanbul / Merkez - Ekonomi-Bilişim, Dijital, Medya Politika-Foreign Politics, Security, Human Rights Ekonomi-AB, ABD, Finans English News-Rights, Crime, Labor Güvenlik-Politics, Foreign PoliticsSağlık-Economy, Human Rights Ekonomi-AB English News-Arts and Culture, Life, Food Ekonomi-Juridical, Human Rights Politika-Economy, Security English News-International News English News-Health, International NewsGenel-Tarım Genel-Life, Juridical, Crime English News-Education English News-Rights, Press, Juridical Politika-Foreign Politics, Economy Kültür Sanat-Politics, Security English News-Politics, DiplomacyEnglish News-Energy, Economy, International News Gündem-Medya Güvenlik-Politics, Economy English News-Rights, Crime English News-Rights, Press, Politics, Internationa Politika-Juridical Güvenlik-Life, CrimeEkonomi-Genel, Bilim Teknoloji English News-Diplomacy, Security Ekonomi-Tourism, Dış Haberler-Economy, Environment, Health Sağlık-Ekonomi Dış Haberler-Ekonomi, Eğitim, Finans, Diplomasi, H Kültür Sanat-Economy, Health, LifeKültür Sanat-Tourism, Life Dış Haberler-Diplomasi, Politika, AB, Ekonomi Ekonomi-İşsizlik Genel-Environment, Life, Tourism English News-Politics, Media, Rights English News-Arts and Culture, Tourism, Internatio Ekonomi-UnemploymentGündem-Human Rights, Media English News-Crime, Juridical English News-Labor, Rights, Health, Security Bilim Teknoloji-Juridical, Crime Ekonomi-Health, Life English News-Juridical, Politics, Rights Politika-Kültür ve SanatEkonomi-Telekom Magazin-Tourism, Life English News-Politics, Diplomacy, Security Sağlık-Sağlık, Sanat Ekonomi-Aviation Magazin-Politika English News-Economy, PressEnglish News-Politics, Security, Diplomacy, U.S. Ekonomi-İstihdam, İşsizlik Genel-Otomobil drenaj kanalına düştü: 2 ölü, 2 yar English News-International News, Security, Rights English News-Rights, Health, Environment Politika-Juridical, Crime. Human Rights Genel-Turizm, EğitimKültür Sanat-Politika Genel-Dış haber - Politika Politika-Human Rights, Juridical Dış Haberler-Economy, Politics English News-Security, Economy English News-Rights, Environment Ekonomi-TeknolojiEğitim-Politics, Human Rights English News-Security, Rights, Press English News-Rights, Arts and Culture Politika-Security, Human Rights Dış Haberler-Politics, Security English News-Arts and Culture, Religion, Life Dış Haberler-Ekonomi, Bilim Teknoloji, AdaletGenel-Güvenlik-Politika Genel-IŞİD-İncirlik English News-Security, Rights, Crime Ekonomi-Diplomasi, Finans, AB Kültür Sanat-Genel Genel-Tourism, Environment English News-Tourism, LifeEkonomi-Bilim-Teknoloji Sağlık-Eğitim Güvenlik-Dış Politika, İnsan Hakları English News-Press, International News Ekonomi-Telekomünikasyon Genel-Magazin Dış Haberler-Security, Human RightsDış Haberler-Güvenlik, İnsan Hakları, Medya Canlı Maç-Spor Ekonomi-Politics, Religion Güvenlik-Politika, Dış Politika English News-Sports, Politics Bilim Teknoloji-Genel Ekonomi-AutomotiveGenel-Life, Environment, Women Rights English News-Security, Economy, Rights Ekonomi-İklim, Çevre, Enerji, Politika Kültür Sanat-Tourism Güvenlik-Politics, Human Rights, Religion English News-Life, Science and Technology English News-Politics, Defense, EconomyEkonomi-Construction Dış Haberler-Art and Culture English News-Life, Sports Genel-Ekonomi,Turizm Politika-Juridical, Crime Genel-Life, Crime English News-Security, TechnologyEkonomi-Ekonomi, Çevre, Haklar Politika-Spor Dış Haberler-Juridical, Crime English News-Politics,Life Dış Haberler-Güvenlik, Havacılık Politika-Juridical, Human Rights Genel-Environment, EconomyDış Haberler-Politika, Medya English News-Rights, Health, Education, Politics Politika-Economy, Religion Genel-Çevre, Ekonomi English News-Politics, Rights, Media Dış Haberler-Güvenlik, İnsan Hakları, Medya, Polit Politika-Economy, FinanceGenel-Environment, Politics, Economy, Human Rights English News-Security, Crime, Rights, Labor Bilim Teknoloji-Bilim Teknoloji, Eğitim Politika-Economy Ekonomi-Life, Security, Human Rights English News-International News, Politics, Diploma English News-EnergyEkonomi-Real Estate, Finance Genel-Ekonomi- Tarım English News-Security, Rights, Politics English News-Economy, International News, Energy Politika-Konut Genel-Life, Tourisme, Sports English News-Diplomacy, Rights, PoliticsKültür Sanat-Kültür - Sanat, Ekonomi Ekonomi-Environment Güvenlik-Human Rights, Law English News-Press, Rights, Politics, Internationa Dış Haberler-İnsan Hakları, Medya, Politika, Diplo Güvenlik-Odd Genel-Tourism, Environment, LifeEnglish News-Life, Food Genel-Güvenlik, Savunma, Teknoloji Politika-Security Genel-Human Rights, Juridical English News-Crime, Labor, Rights English News-Rights, Education Güvenlik-Juridical, CrimeDış Haberler-Art and Culture, Tourism, Life English News-Politics, Juridical, Press, Rights Spor-Spor Ekonomi-Employment Güvenlik-Security, Life English News-Rights, Press, Politics, English News-Arts and Culture, PressEkonomi-Arts-Culture Kültür Sanat-Security English News-Environment, Local, Rights Ekonomi-Ekonomi, Finans Genel-Ekonomi, Politika Kültür Sanat-Security, Human Rights English News-Press, Rights, Politics, JuridicalEnglish News-Environment, Climate Gündem-Media Güvenlik-Environment, Politics, Economy, Human Rig English News-Security, Labor, Rights, Economy Eğitim-Kurumsal Sosyal Sorumluluk Politika-Economy, Energy, Security Güvenlik-Environment, CrimeEnglish News-Security,International News Dış Haberler-Deprem Magazin-Tourism Gündem-Environment, Life Genel-Genel English News-Environment, Energy, Climate Ekonomi-EducationDış Haberler-Dış Politika, Güvenlik English News-Rights, Crime, Juridical Güvenlik-Bilim-Teknoloji Ekonomi-Food, Agriculture Güvenlik-Crime, Politics, Human Rights English News-Life, Arts and Culture English News-Energy, ClimateEkonomi-Media Genel-Religion, Rights English News-Religion Ekonomi-Çevre, Enerji Sağlık-Environment Güvenlik-Güvenlik English News-Rights, International NewsEnglish News-Rights, Politics, Media Politika-Economy, Agriculture Genel-Crime Dış Haberler-Güvenlik, Ekonomi English News-Rights, Health Politika-Human Rights, Media Kültür Sanat-Life, SecurityEnglish News-Religion, Rights English News-Life, International News Eğitim-Genel Kültür Sanat-Women's Rights, Life English News-Juridical, Politics, Rights, Crime Ekonomi-Ekonomi, Enerji, Finans Politika-MedyaKültür Sanat-Economy English News-Security, Life English News-Finance, Energy Eğitim-Juridical Ekonomi-Life, Tourisme, Environment English News-Life, Tourisme English News-Society, EconomyPolitika-Religion Genel-Crime, Life English News-International News, Press Genel-Politika, Kültür Sanat Gündem-Human Rights, Education Genel-Life, Tourisme, Security English News-Economy, HealthEkonomi-Haklar, Kadın Sağlık-Human Rights, Juridical, Crime Kültür Sanat-Religion, Rights English News-Security, Crime, Rights English News-Economy, Rights, Gender Politika-Media Magazin-Tourism, Arts and CultureEnglish News-International News, Diplomacy English News-Economy, Gender Ekonomi-Kültür Sanat Politika-Media, Human Rihgts English News-Diplomacy, Politics English News-Rights, Education, Politics Sağlık-Human RightsGenel-Life, Security, Crime Dış Haberler-Politika, Ekonomi English News-International News, Rights, EU Ekonomi-İnşaat, Konut, İstihdam Kültür Sanat-Economy, Life English News-Security, Politics, Diplomacy Seç-Press, Rights, PoliticsSağlık-Religion Dış Haberler-Economy, Life English News-Politics, Economy, Diplomacy English News-Security, Rights, Health Ekonomi-Exports Gündem-Yargı, Güvenlik Genel-TurizmEkonomi-Finans, Eğitim Gündem-Juridical, Religion Dış Haberler-Security, Rights English News-Politics, International News Dış Haberler-Güvenlik, Haklar, Politika Genel-Politika, Dış Haberler Genel-Life, TourismeEnglish News-Health English News-Rights, Diplomacy, Politics Gündem-Politics, Human Rights Güvenlik-Rights Dış Haberler-İnsan Hakları, Medya Ekonomi-Güvenlik, Haklar, Politika, Diplomasi Politika-Economy, Human Rights, Foreign PolicyBilim Teknoloji-Climate Change English News-Diplomacy, Politics, International Ne English News-Politics, Rights, Security, Diplomacy Politika-Human Rights, Economy Dış Haberler-Arts and Culture English News-Crime, Juridical, Security English News-Rights, Women, PoliticsEkonomi-Energy, Politics Kültür Sanat-Tourism, Arts and Culture English News-Politics, Diplomacy, Security, Busine English News-Rights, Media, Politics, Diplomacy Genel-Çevre, Ekoloji Güvenlik-Crime English News-Politics, Diplomacy, Women, LabourGüvenlik-Siyaset Ekonomi-Construction, Real Estate Politika-Defense, Economy English News-Business Dış Haberler-Güvenlik, Haklar, Politika, Diplomasi Gündem-Juridical, Crime. Human Rights Genel-Juridical, Human RightsEnglish News-Diplomacy, Politics, EU Ekonomi-Eğitim, Finans Kültür Sanat-Science-Technology Politika-İnsan Hakları, Medya English News-International News, Economy Dış Haberler-Diplomasi, Politika, Güvenlik, Yargı Politika-Economy, AutomotivePolitika-Rights Güvenlik-Dış Haberler, Politika Genel-Tarım, Hayvancılık Politika-Energy, Politics Genel-Religion, Culture Dış Haberler-International News English News-Defense, Security, Politics, DiplomacPolitika-Juridical, Economy Politika-Economy, Human Rights Güvenlik-SURİYE English News-Rights, Politics, Juridical Genel-Human Rights, Juridical, Crime Genel-Tourism, Sports Genel-DışEnglish News-Security, Rights, International News Genel-Juridical Politika-Magazin English News-Economy, Politics, International News English News-Aviation Politika-Foreign Politics Genel-SecurityEnglish News-Juridical, Politics, Media, Rights English News-Economy, Security Ekonomi-Energy, Foreign Politics Dış Haberler-Ekonomi, Havacılık English News-Religion, Life Ekonomi-Sağlık Güvenlik-Rights, CrimeEnglish News-Arts and Culture, Education English News-Scurity Kültür Sanat-Bilişim, Dijital, Medya Spor-Life, Tourisme English News-Security, Diplomacy, Politics Ekonomi-Finnans Politika-Human Rights, Juridical, CrimeGenel-Tourism, Life, Sports Seç-Press, Rights, Juridical, Politics Ekonomi-Bilim Teknoloji, Eğitim Politika-Juridical, Education Kültür Sanat-Life, Tourism English News-Press, Rights English News-Rights, Politics, Juridical, DiplomacEkonomi-Foreign Politics Dış Haberler-İran, ABD, Nükleer English News-Crime, Security, Diplomacy Politika-Çevre, Ekoloji Ekonomi-Security, Crime Politika-Rights, Crime English News-EU, Politics, DiplomacyDış Haberler-Diplomasi, Politika, AB, Güvenlik, Ek Politika-Politics Güvenlik-Life, Human Rights English News-Politics, Media, Rights, EU Kültür Sanat-Sinema Politika-Foreign Politics, Human Rights Ekonomi-Politika, Dış PolitikaDış Haberler-Diplomasi, Politika Genel-Savunma, Ekonomi Politika-Security, Crime Genel-Security, Human Rights Dış Haberler-Diplomasi, Politika, AB Dış Haberler-Enerji, Çevre, Ekonomi, Finans Ekonomi-Foreign Politics, EconomyGenel-Juridical, Crime Ekonomi-Diplomasi, Politika, AB, Ekonomi Ekonomi-Tourism, Economy, Politics Kültür Sanat-Politics, Arts-Culture Genel-Crime, Life, Security English News-Economy, Politics, Diplomacy Spor-GüvenlikGündem-Human Rights Dış Haberler-Enerji, Ekonomi Dış Haberler-Havacılık Genel-Sağlık, Güvenlik Politika-Human Rights, Security Güvenlik-Human Rights, Media Ekonomi-Dış HaberlerEnglish News-International News, Rights, Press Ekonomi-Juridical Politika-Security, Media English News-Rights, Juridical English News-Juridical, International News Güvenlik-Foreign Politics, Human Rights Genel-Life, Tourisme, EnvironmentEnglish News-Crime, Politics Dış Haberler-Security, International News Gündem-Human Rights, Juridical Dış Haberler-Güvenlik, İnsan Hakları, Spor Dış Haberler-Ekonomi, Finans, Yaşam English News-Juridical, Rights, International News Kültür Sanat-PoliticsDış Haberler-Politika, Güvenlik English News-Economy, Finance, Life Genel-Güvenlik, Havacılık Gündem-Human Rights, Juridical, Foreign Policy Gündem-Security, Media Magazin-Genel English News-International News, Crime, EconomyGüvenlik-Human Rights Gündem-Security, Media, Rights Dış Haberler-Güvenlik, Savunma English News-International News, Juridical Politika-Energy, Foreign Politics Sağlık-Security, Tourism Bilim Teknoloji-SağlıkSağlık-Çevre, Ekonomi Güvenlik-Juridical Genel-Security, Environment English News-International News, Politics Dış Haberler-Güvenlik, Haklar, Diplomasi, Yargı Güvenlik-Politics, Security, Juridical Politika-Security, Media, RightsEnglish News-Security, Energy Sağlık-Çevre, Enerji Güvenlik-Politics, Foreign Politics, Security Kültür Sanat-Economy, Finance English News-Politics, Security, Economy, Energy Bilim Teknoloji-Bilim Teknoloji Politika-LifePolitika-Security, Crime, Human Rights Dış Haberler-Savunma, Ekonomi Spor-Magazin Kültür Sanat-Tourism, Economy Politika-Security, Crime, Human Rights, Media Dış Haberler-Kültür - Sanat, Politika, Yargı, İnsa Ekonomi-EnerEkonomi-Tourism, Environment Sağlık-Sports, Religion, Human Rights Dış Haberler-Yargı Ekonomi-Güvenlik Ekonomi-Energy Dış Haberler-Security, Media, Rights Genel-HavacılıkGenel-Politika - Teknoloji Eğitim-Human Rights Genel-Crime, Rights English News-Sports, Rights Dış Haberler-Diplomasi, Politika, Haklar Eğitim-Juridical, Human Rights, Religion Ekonomi-Güvenlik, İnsan HaklarıEnglish News-International News, Economy, Energy Ekonomi-Tarım, Hayvancılık Genel-Life Dış Haberler-Politics, Press Rights English News-Life, Rights Genel-Doğa-Çevre Politika-Güvenlik, İnsan HaklarıDış Haberler-Genel Dış Haberler-AB Genel-Sağlık, Spor Genel-Human Rights, Religion Dış Haberler-Uluslararası Politika, Güvenlik Dış Haberler-Politika, Yargı Spor-Magazin, Kültür SanatPolitika-Foreign Politics, Religion Genel-Urban, Economy Dış Haberler-Diplomasi, Politika, AB, Savunma, Güv Ekonomi-Diplomasi, Politika, Haklar Kültür Sanat-Human Rights, Religion Dış Haberler-Politika, Dış Politika Dış Haberler-Diplomasi, Politika, AB, GüvenlikEkonomi-AB, Haklar, Politika, Dış Politika, Diplom Gündem-Politics Genel-Life, Health English News-Economy, Rights Ekonomi-İklim Sağlık-Genel Politika-Media, RightsEnglish News-International News, Security, EU Dış Haberler-İklim, Çevre, Enerji, Politika Politika-Foreign Politics, Human Rights, Security Güvenlik-Press, Rights English News-Tourism, Economy, International News Seç-Ekonomi, Toplum Genel-Human RightsGüvenlik-Diplomacy English News-Juridical, Politics, Rights, Press Dış Haberler-Enerji, Finans, Ekonomi Gündem-Juridical, Human Rights Güvenlik-Diplomacy, Economy English News-Arts and Culture, Rights, Politics Dış Haberler-Diplomasi, Politika, AB, Haklar, GüveMagazin-Life Genel-Environment, Rights English News-Energy, Economy, Environment Eğitim-Haklar, Toplum, Eğitim Güvenlik-Human Rights, Religion Kültür Sanat-Rights, Urban Bilim Teknoloji-Çevre, Ekoloji,Eğitim-Haklar, Güvenlik Genel-Human Rights, Economy, Tourism Dış Haberler-Bilim Teknoloji Dış Haberler-Çevre, Ekonomi Ekonomi-Ekonomi, Finans, Politika Kültür Sanat-Life Güvenlik-Rights, Press, PoliticsEkonomi-Sanayi, Otomotiv Genel-ABD Ekonomi-İhracat Dış Haberler-Security, Economy, Policy, Rights Ekonomi-Enerji, Finans Genel-Bilim Teknoloji Genel-Dış HaberEkonomi-Güvenlik, Dış Haberler English News- Religion, Politics Dış Haberler-Haklar, Medya, Diplomasi, Politika Sağlık-Security, Human Rights Genel-Life, Sports, Tourism Dış Haberler-Enerji, Çevre, Ekonomi English News-Sports, Security, PoliticsEkonomi-Avrupa Birliği Ekonomi-Politics, Human Rights, Press, Juridical Dış Haberler-İklim, Çevre, Enerji English News-Juridical, Rights, Media, Politics Ekonomi-Genel Genel-Economy, Politics English News-Environment, EconomyDış Haberler-Bilim Güvenlik-Dış Haber Güvenlik-dha Magazin-Genel, Spor Genel-Sağlık, Bilim, Teknoloji Ekonomi-Human Rights Güvenlik-Rights, PoliticsMagazin-Spor Bilim Teknoloji-Ekonomi Ekonomi-Ekonomi Politika-Security, Diplomacy English News-Energy, Economy, International News, Ekonomi-Ekonomi, Enerji, Finans, Politika Güvenlik-Foreign PoliticsGüvenlik-Press, Rights, Politics Dış Haberler-Medya Bilim Teknoloji-Güvenlik Politika-Religion, Real Estate Politika-Press, Security English News-Media Ekonomi-Diplomasi, Politika, AB, Güvenlik, EkonomiGüvenlik-Tourism Genel-Rights English News-Diplomacy, International News Dış Haberler-SURİYE Dış Haberler-Güvenlik Dış Haberler-Politics, Foreign Politics, Security Dış Haberler-Çevre, Enerji, EkonomiDış Haberler-Kültür - Sanat, Güvenlik Güvenlik-Juridical, Crime. Human Rights Güvenlik-Politics, Press, Rights English News-History, Arts and Culture, Internatio English News-Economy, Finance, Agriculture, Food Ekonomi-Juridical, Crime Politika-Security, Rights, PressEnglish News-Environment, Energy, Economy, Interna English News-Crime, Juridical, Rights, Women Ekonomi-Mobil İletişim Dış Haberler-Press, Rights, Politics English News-Juridical, Rights, Security English News-Juridical, Politics, Rights, Press, S Gündem-Health, Human RightsGüvenlik-Politics, Diplomacy English News-Security, International News, Economy Güvenlik-Kayseri Gündem-Foreign Politics, Human Rights Sağlık-Crime English News-International News, Security, EU, Dip Dış Haberler-Bilim Teknoloji, EğitimEkonomi-Politika, Finans Politika-Diplomacy English News-Labor, Rights, Health Dış Haberler-Diplomasi, Politika, ABD, Güvenlik Ekonomi-Enerji, Çevre Ekonomi-Tarım Dış Haberler-Politika, Dış Politika, Güvenlik, Sav






